• شهروند خبرنگار
  • شهروند خبرنگار آرشیو
امروز: -
  • صفحه نخست
  • سیاسی
  • اقتصادی
  • اجتماعی
  • علمی و فرهنگی
  • استانها
  • بین الملل
  • ورزشی
  • عکس
  • فیلم
  • شهروندخبرنگار
  • رویداد
پخش زنده
امروز: -
پخش زنده
نسخه اصلی
کد خبر: ۲۵۵۵۱۲۷
تاریخ انتشار: ۰۱ آبان ۱۳۹۸ - ۱۸:۳۱
چهارمحال و بختیاری » اجتماعی

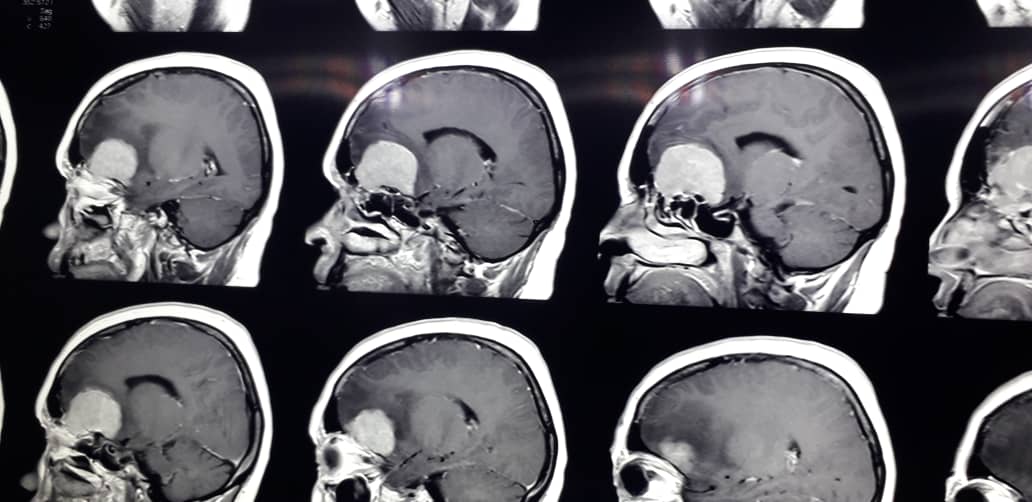
انجام موفقیت آمیز جراحی تومور مغزی بیمار بروجنی

جراحی تومور مغزی بیمار بروجنی با موفقیت انجام شد.

به گزارش خبرگزاری صدا و سیما مرکز چهارمحال و بختیاری،رییس بیمارستان ولی عصر (عج) بروجن، از موفقیت تیم جراحی در خارج نمودن تومور مغزی زن ۴۲ ساله خبر داد. انجام موفقیت آمیز جراحی تومور مغزی بیمار بروجنی

امین احمدی افزود: این بیمار۴۲ ساله به علت تومور مغزی به عوارض سردرد، سرگیجه و کاهش بینایی دچارشده بود.

 احمدی گفت: عمل جراحی وی که تومور مغزی در ناحیه قدام(پیشانی) بود به همت دکتر حسینعلی علیخانی و تیمش با موفقیت خارج شد و در حال حاضر حال عمومی بیمار خوب است.

وی گفت: هوشیاری بیمار بازگشته و تاکنون عوارضی در پی عمل جراحی در هیچ کجای بدن وی دیده نشده است.

علیخانی، جراح این بیمار هم گفت: این زن 42 ساله از چند سال پیش دچار کاهش حس بویایی شده ولی ظاهراً به این موضوع اهمیتی نداده است.

 وی ادامه داد: از حدود ۴ ماه قبل بیمار دچار سردرد، سرگیجه و کاهش حس بینایی شده و بینایی این بیمار بتدریج کاهش یافته تا جایی که در هفته‌های اخیر نمی‌توانست به درستی ببیند.

وی گفت: با انجام MRI وجود تومور بزرگ وسط مغز این بیمار تایید شد و با توجه به کاهش بینایی وی، بیمار بطور اورژانسی تحت عمل جراحی قرار گرفت.

علیخانی با بیان اینکه در عمل جراحی تومور به صورت کامل از مغز بیمار خارج شد افزود: بینایی این بیمار تقریباً بازگشته و وضعیت وی در حال بهبود است.

 

انجام موفقیت آمیز جراحی تومور مغزی بیمار بروجنی انجام موفقیت آمیز جراحی تومور مغزی بیمار بروجنی انجام موفقیت آمیز جراحی تومور مغزی بیمار بروجنی
بازدید از صفحه اول
ارسال به دوستان
نسخه چاپی
گزارش خطا
Bookmark and Share
X Share
Telegram Google Plus Linkdin
ایتا سروش
عضویت در خبرنامه
نظر شما
آخرین اخبار
معاون رئیس‌جمهور: طرح اخیر مجلس درباره مهریه غیرمتوازن است
استاندار خوزستان با حضور میدانی دستور رسیدگی فوری و عملیات بازسازی صادر کرد
ثبت ملی سه محصول لبنی بومی خراسان شمالی در فهرست ناملموس کشور
تداوم بارش رحمت الهی در یزد
دستور عارف برای رسیدگی فوری به مصدومان سانحه اتوبوس
برگزاری همایش ملی فیزیک در دانشگاه فرهنگیان آذربایجان شرقی
صدور احکام جایگزین حبس در دادگستری مرکز لرستان
هوای مشهد امروز جمعه ۲۱ آذر ۱۴۰۴ سالم شد
برگزاری مراسم ولادت حضرت زهرا (س) در کوالالامپور
رعایت فاصله اجتماعی راهکار جلوگیری از گسترش آنفلوانزا
نیمی از مردم آمریکا مشکل تامین غذا دارند
کشف محموله کاغذ دیواری قاچاق در شاهرود
اهدای یک میلیارد تومان تجهیزات پزشکی به خانه هلال مسجد فاطمه الزهرا زیرکوه
بزرگداشت سالروز ولادت حضرت فاطمه (س) و روز زن در پیشاور
بارش برف در ۱۹ محور شریانی استان مرکزی
تقابل هیرکان رشت در هفته ششم رقابتهای لیگ حرفه ای بسکتبال باشگاه های کشور
سیلاب، بخش عشایری ایلام را متضرر کرد
افزایش ۲۴ درصدی ترخیص کالای اساسی از گمرکات خوزستان
تصرف شناور حامل نفت ونزوئلا دزدی دریایی دولتی است
اعتماد مشترک تضمین‌کننده صلح و ثبات میان ملت‌ها است
  • پربازدیدها
  • پر بحث ترین ها
میزان بارش برف در فریدونشهر
بارش نخستین برف و باران پاییزی در سپیدان
آخرین وضع بارش برف در محور‌های مواصلاتی اصفهان
آبگرفتگی معابر شهری در آبادان
میزان بارش سامانه اخیر در چهارمحال و بختیاری
ثبت صد میلیمتر بارش در همدان
میزان بارش‌های اخیر در کهگیلویه وبویراحمد تا ساعت ۶:۳۰ امروز
میزان بارش‌های اخیر تا ساعت ۱۲ و ۳۰ دقیقه امروز
هدر رفتن آب در تصفیه آب خانگی
جشن نجات ۱۰ هزار جان با سلول‌های بنیادی
پوتین حمایت خود را از دولت ونزوئلا اعلام کرد
خوشحالی مردم کهگیلویه و بویراحمد از بارش باران
شارژ اعتبار دهک‌های درآمدی ۱ تا ۳ از شنبه ۲۲ آذر
بسته فرهنگ و هنر ۱۴۰۴/۰۹/۲۰
دشمن فهمیده ایران با فشار نظامی تسلیم و تصرف نمی‌شود
مخالفت شهرداری تهران با اجرای طرح ترافیک تا پایان سال  (۹ نظر)
شرط آمریکا برای استفاده ترکیه از جنگنده اف-۳۵  (۲ نظر)
برگزاری آزمون استخدامی صدا و سیمای خراسان جنوبی  (۲ نظر)
میزان بارش برف در فریدونشهر  (۱ نظر)
تألیف کتاب با موضوع کودکان دیرآموز در کهگیلویه و بویراحمد  (۱ نظر)
آمریکا نمی‌خواهد ایران قدرت تولید کند  (۱ نظر)
میزان بارش سامانه اخیر در چهارمحال و بختیاری  (۱ نظر)
نامه وزیر ارتباطات درباره سیم‌کارت‌های سفید  (۱ نظر)
بلیت سینما‌ برای بانوان نیم‌بها شد  (۱ نظر)
تخلیه و بارگیری ۶۶ هزار تُن گندم در بندر شهید رجایی  (۱ نظر)
لالی، اندیمشک و مسجدسلیمان، پربارش‌ترین نقاط خوزستان  (۱ نظر)
۱۳ مصدوم در پی انحراف اتوبوس در جاده دنا  (۱ نظر)
پیشنهاد میزان افزایش حقوق‌ها با دولت، اما تصویب با مجلس است  (۱ نظر)
دیدار رئیس سازمان حفاظت محیط‌زیست با وزیر محیط‌ زیست کنیا  (۱ نظر)
اجراي مرحله بيست و سوم طرح آرامش در شهر  (۱ نظر)